티스토리 뷰
목차

홍역이란?
최근 다시 급속히 확산되고 있는 홍역(Measles)!
예방접종이 보편화된 시대에도 여전히 전 세계에서 발병 사례가 늘어나고 있는 이유는 무엇일까요?
오늘은 홍역이란 무엇인지, 증상, 유행하는 이유, 발생 국가, 그리고 대처 방법까지 총정리해드릴게요.
특히 아이를 둔 부모님, 해외여행 예정자라면 꼭 읽어보세요.
1. 홍역이란?

홍역(Measles)은 홍역 바이러스(Measles virus)에 의해 발생하는 급성 전염성 질환입니다.
호흡기를 통해 전파되며, 전염성이 매우 강합니다.
- 전파 방법: 기침, 재채기, 호흡기 분비물
- 잠복기: 평균 10~12일
- 치사율: 선진국 기준 낮으나, 개발도상국에서는 치명적일 수 있음
한 번 감염되면 자연 면역이 생기지만, 예방접종(MMR 백신)이 가장 효과적인 예방법입니다.
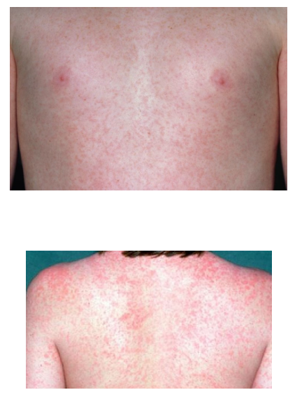
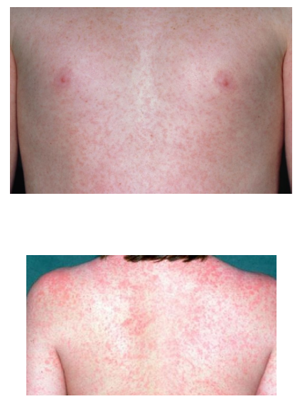
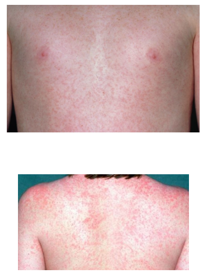
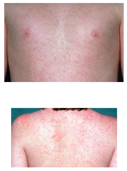
2. 홍역의 주요 증상


홍역은 일반 감기 증상과 비슷하게 시작되지만, 시간이 지나며 전형적인 증상이 나타납니다.
홍역 증상 단계별 정리:
- 초기 증상 (1~4일)
- 발열 (38.5℃ 이상)
- 기침, 콧물, 결막염
- 전염력 가장 높은 시기
- 구진성 발진 (4~7일)
- 얼굴에서 시작해 전신으로 번지는 붉은 발진
- 고열 지속
- 입 안에 코플릭 반점(Koplik's spots) 발생
- 회복기
- 발진이 사라지며 피부가 벗겨짐
- 기침과 피로감은 수주간 지속 가능
3. 홍역이 다시 유행하는 이유
예방접종률 감소가 가장 큰 원인입니다.
- 백신 접종률 저하
- 일부 국가에서 백신 불신, 종교적 이유 등으로 접종 거부
- 코로나19로 인한 예방접종 지연
- 국제 이동 증가
- 해외여행·이주 등으로 홍역 발생국에서 국내로 유입
- 집단생활 감염
- 유치원, 학교, 병원 등에서 빠르게 전파됨
4. 홍역 발생 국가 (2025년 기준)
다음 국가는 최근 2년간 홍역 환자가 급증한 지역입니다.
| 필리핀 | ● 유행 중 | 예방접종률 저하 |
| 인도네시아 | ● 유행 중 | 일부 지역 백신 부족 |
| 말레이시아 | ● 유행 사례 증가 | |
| 미국 | ● 간헐적 발생 | 미접종 아동 중심 |
| 유럽 일부 | ● 유행 경고 | 루마니아, 영국 등 |
🔗 관련 정보: 질병관리청 감염병 발생 현황
질병관리청
질병관리청
www.kdca.go.kr
5. 홍역 발병 시 대처 방법
홍역은 특별한 치료제가 없으며, 증상 완화와 합병증 예방이 핵심입니다.
- 의심 증상 발생 시 즉시 격리 및 병원 방문
- 소아청소년과 또는 감염내과 내원
- 진단을 위해 혈액검사, 항체검사 시행
- MMR 백신 미접종자 확인
- 가족 중 접종력이 불분명한 경우 즉시 백신 접종 권장
- 수분 섭취 및 해열제 복용
- 고열, 탈수를 예방하기 위해 충분한 휴식과 수분 공급
- 합병증 주의
- 폐렴, 중이염, 뇌염 등 가능성 있으므로 정기 관찰 필요
6. 홍역 예방을 위한 체크리스트
예방이 최선의 치료입니다. 아래 항목을 확인해보세요.
- MMR 예방접종 완료 여부 확인
- 해외여행 전 백신 접종 여부 점검
- 감염 의심자와 접촉 피하기
- 아이 학교·어린이집 예방접종력 제출 확인
예방접종도우미
국가 예방접종 위탁의료기관 찾기 어린이 국가예방접종 사업 HPV 국가예방접종 사업 B형간염 주산기 감염 예방사업 어르신 폐렴구균 국가 예방접종사업 인플루엔자 국가예방접종 사업 코로나19
nip.kdca.go.kr
마무리 정리
| 홍역이란 | 고열과 발진을 동반하는 바이러스성 감염병 |
| 주요 증상 | 고열, 기침, 결막염, 전신 발진 |
| 유행 원인 | 예방접종률 저하, 해외유입 증가 |
| 발생 국가 | 필리핀, 인도네시아, 미국, 유럽 등 |
| 대처 방법 | 격리, 증상 치료, 예방접종 확인 |
함께 보면 좋은 관련 글
해외여행전 꼭 필요한 예방접종은 무엇
홍역 예방접종 시기, 비용, 병원 정보 총정리 (2025년 기준)홍역은 전염성이 매우 강한 감염병으로, 예방접종을 통해 거의 완벽하게 막을 수 있습니다.특히 어린아이나 해외여행 예정자라면 반드
norimama21.com